近日
一名北京警察连上三个热搜
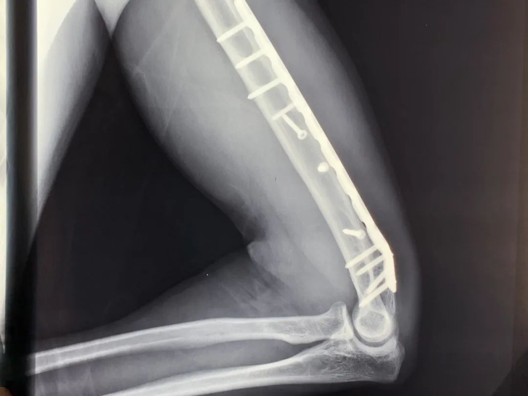
右臂已经明显变形“肱骨被拧断成了麻花状”他叫毕光熙是北京市公安局丰台分局刑侦支队禁毒大队的一名禁毒警察
2015年6月17日凌晨3点毕光熙一行五人根据线索前往一家歌厅抓获一名涉毒嫌疑人在将嫌疑人带离过程中歌厅内涌出七八名壮汉将毕光熙五人和车辆的去路堵住面对步步紧逼的恶徒毕光熙瞅准时机一跃而上与领头叫嚣者扭打在一起
在奋力压制恶徒的过程中毕光熙突然感觉右臂一阵剧痛待到将恶徒制服后起身毕光熙发现自己的右臂已经明显变形事后检查显示“肱骨被拧断成了麻花状”11根钢钉、20厘米钢板永久保留在体内同事将他紧急送往医院拍完X光片医生给出了伤情结论:“右臂肱骨粉碎性骨折”原本预计3个小时的手术整整延长一倍时长20厘米长的钢板11根钢钉被植入固定在骨折处
由于固定伤处的钢板距离桡神经过近产生粘连拆除钢板或会导致神经受损进而影响右臂功能医生建议将其永久保留体内“下一次还是会往前冲这是我的责任!”如今毕光熙右臂弯曲时右手手指只能刚刚触碰到肩部因为担心压到钢板睡觉时无法向右侧卧23厘米的疤痕20厘米的钢板11根钢钉一张蓝色残疾证……将伴随他的一生
但他说这是“勋章”:“我不后悔!下一次还是会往前冲这是我的责任!”
网友纷纷留言:“向禁毒英雄致敬”“我不想认识他们只想他们能平安”
今天是国际禁毒日让我们一起致敬禁毒英雄对毒品说“不”!
来源 新华社
责编:刘茜
来源:新华社



